[pear_error: message="Success" code=0 mode=return level=notice prefix="" info=""]

JUGEMテーマ:歯の健康 昨日の続きである 奥歯の咬合高径が足りないと咬みあわせによっては、下顎前歯が上顎前歯を 下から突き上げるようになってしまう。こうなると上顎前歯を広げて隙間を 生じたり、出っ歯にしたりと問題が生じる。昨日のケースではこの両者が 生じていて、これ以上改善しようとしても、いかんせん下顎前歯が下から 突き上げている状態では改善の余地がないのである。実際のところ出っ歯で、 隙間ありの状態なのである。これをなおすためには、奥歯の咬合高径を あげて、前歯の突き上げをなくさないことには...
咬みあわせ(噛み合わせ)について、,インプラントについても辛口批評 、歯科難民(歯科裏話), | 2016.06.11 Sat 14:07
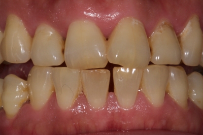
JUGEMテーマ:歯の健康 結論から言うと、顎関節を見据えた咬合が全く見えていないまま矯正を 長期間続けられてしまったということになる。昨日も書いたことであるが 下顎第一大臼歯を両側で失っている症例である。当然ながら臼歯部咬合 高径が足りなくなっている。矯正もクライアントも高さが足りないこと には気が付いているのではある。しかしながら第二大臼歯が近心移動して (前方に移動していること)いると、咬合高径が足りなくなることには、 気が付いていないというか知らないのである。そのために臼歯を挺出させようと...
咬みあわせ(噛み合わせ)について、,インプラントについても辛口批評 、歯科難民(歯科裏話), | 2016.06.11 Sat 09:00
JUGEMテーマ:歯の健康 下顎ももちろん第一大臼歯は咬合のカギを握っている。歯の抜き差しを出来る プラスチック模型で、第一大臼歯を抜歯ならず、模型から抜き取ってみると そこにできたスペースを見ると、その存在がいかに大きいかよくわかる のである。 咬合力は第一大臼歯後方に強くかかることを、一般の人には多分 理解してもらえるのは難しいかもしれません。 手作りのHP http://www.matuyama-a.jp 下顎は変位する を参照してください。 特に上顎第一大臼歯を失うと、その後方の第二大臼歯に咬合力が 加わり第二大臼歯は歯...
咬みあわせ(噛み合わせ)について、,インプラントについても辛口批評 、歯科難民(歯科裏話), | 2016.06.09 Thu 20:19
JUGEMテーマ:歯の健康 インプラントの冠は仮付けしたほうがベターである。そのためには、歯科医が 外そうと思えばいつでも外せる、スクリューリテインという方法があり、これは 冠を土台にネジ止めする方法である。ただしこの方法では、前歯部ではネジ穴の 処理が大変というか、審美上不可能なことが多く、セメント止めする方法を採る。 外しやすいようにするためには工夫が必要である。
咬みあわせ(噛み合わせ)について、,インプラントについても辛口批評 、歯科難民(歯科裏話), | 2016.06.09 Thu 18:08
July 12, 2015 Hazel 朝日森 #3,5 Prep Hazel 朝日森は#3,5 Prepでした。 修復治療ですから ラバーダムは必須になります↓。 治療前の様子です↓。 #4のメタボンは歯列矯正のために 抜歯となるので何もしません↓。 1時間程度の時間をかけ Prepをしました↓。 ゴールドクラウンのPrepです↓。 電気メスで炎症を起こして マージンの邪魔になる 歯茎を除去しましたが これが大変でした。 #3はマージンが奇麗に 歯の周りを一周してい...
GVBDO Dental Diary ・歯列矯正失敗から復活する名医の歯科治療とは? | 2016.06.08 Wed 10:46
JUGEMテーマ:歯の健康 たった今、下顎犬歯を抜歯してインプラントを埋入する予定であったが、抜歯のみに とどめて、インプラントを埋入するのは中止したところである。理由は抜歯窩唇側の 骨が以外にも大きく吸収されていて、インプラントのネジどめが難しかったためである。 CTがあればというところかもしれないが、骨が薄いために意外と術前検査では 判りにくいことが多いのである。特にその歯に冠がかぶさっていたりするとアーチファクト という現象でレントゲン線が乱れて見にくくなるからである。 他には何症...
咬みあわせ(噛み合わせ)について、,インプラントについても辛口批評 、歯科難民(歯科裏話), | 2016.06.07 Tue 13:04
JUGEMテーマ:歯の健康 ---------------------------------------------------------------------------------------------------------- こんにちは! 歯科の情報を発信中!デンタルニュースです。 6月号は歯科検診についてです。 長く自分の歯とお付き合いしていくために、 検診のモチベーションを維持できるようにしましょう! ---------------------------------------------------------------------------------------------------------- 毎日の歯磨き、面倒だなと思うことはありませんか? 虫歯なと|...
デンタルニュース | 2016.06.06 Mon 12:01
JUGEMテーマ:歯の健康 歯って簡単に抜けるんですねぇ。 今日は、4月の末から通っている歯医者で 抜歯してきました。 歯が欠けているのと、鼻の方まで 虫歯があってかなりまずい状況と説明されて 麻酔を打ってカリカリされていると思ったら 「抜けました。お疲れ様でした。」 で終了。 抜いたところを縫うのかと思ったら 来週消毒なんだそうで。 抗生物質と痛み止めをもらうだけでした。 親知らずを抜いた時の記憶だと 斜めに生えていたのもあるのだろうけど 1時間以上格闘されてやっと抜けた覚えがあります。...
子育て主婦keruの気まま日記 | 2016.06.05 Sun 21:05
JUGEMテーマ:歯の健康 July 04, 2015 Hazel 朝日森 #14 Prep Hazel 朝日森は#14 Prepでした。 修復治療ですから ラバーダムは必須になります↓。 治療前の様子です↓。 #13は歯列矯正のために 抜歯となるので放置状態です↑。 45分をかけてPrepしました↓。 Amalgamも研磨してあります↓。 マージンが歯の周りを 奇麗に一周しているのが 目の見える人には見えています↑。 良いPrepの条件というのは いろいろとありますが ...
GVBDO Dental Diary ・歯列矯正失敗から復活する名医の歯科治療とは? | 2016.06.03 Fri 10:03
マウスピース矯正とは従来のワイヤーを歯に着けて行うものではなく、マウスピースを2週間に一度交換し、徐々に歯を動かしていく矯正システムです。錦デンタルクリニックではインビザラインシステムを導入しており現在、世界で最先端のマウスピース矯正を行っています。 現在、6月末まで限定で55万円(+消費税)(内訳:精密検査費2万円+インビザライン矯正治療費53万円)で行っています。精密検査は1時間半程で、後日分析結果を基にカウンセリングを行い、その後インビザライン矯正治療を行っていきます。カウンセリングのみで...
錦デンタルクリニックブログ | 2016.06.01 Wed 13:29
全1000件中 471 - 480 件表示 (48/100 ページ)