[pear_error: message="Success" code=0 mode=return level=notice prefix="" info=""]

1
JUGEMテーマ:歯茎の審美歯科 写真を撮ると歯茎が黒く見えるのが気になる!という方へ 歯茎の黒ずみを消してきれいな歯茎になる方法のご紹介です。 笑った時に見える歯茎の色が黒いと大きく笑えない、といった生活をされているのでしたら、この機会に歯茎の黒ずみをきれいにされてはいかがでしょうか?まずは、ご自身の歯茎の黒ずみの原因を確認してください。(ただし、一般的な歯科医院では治療の対応をしてもらえない場合がありますのでご注意ください。) 歯茎の黒ずみの治療 歯茎が黒く見えてしまうのを気...
歯科治療ブログ | 2018.12.06 Thu 23:37
JUGEMテーマ:歯茎の審美歯科 審美歯科で歯並びを綺麗にしたい! とお考えの方は、現状の歯並びや歯の変色などの問題があるのかと思います。 審美歯科治療は歯を綺麗にする良い治療ですが、 多くの歯科医院で行う審美歯科治療で不満が出てしまっている、この一点だけはご確認ください。 ご注意いただきたいのは、審美歯科治療を行う前にご自身で、前歯の歯茎の位置が上がっていないか、左右で同じ位置にあるかを確認してください。 歯茎の位置が上に上がって歯の長さが長く見えて...
歯科治療ブログ | 2018.12.06 Thu 18:30
JUGEMテーマ:歯茎の審美歯科 歯茎が下がってしまっていませんか? 歯茎を回復させる歯茎の再生治療のご紹介です。 歯茎の再生治療の豊富で綺麗な治療例のページもご覧ください。 http://www.sisyuubyou.org/再生治療の症例集/
歯科治療ブログ | 2016.12.14 Wed 00:40
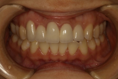
JUGEMテーマ:歯茎の審美歯科 歯が長くなってしまった方へ あなたの差し歯は長くて見た目が気にならないですか? 歯の長さが歯茎の退縮で長くなってしまう事があります。 歯茎の位置を変えずに被せものをしてしまうと、長い歯ができてしまいます。はぐきの位置をもとの戻してからオールセラミックで治療されるとバランスのとれたきれいな歯になります。 歯の長さを短くしたケース1 術前 歯茎が痩せて歯が長くなってしまっています。見た目が気になるようです。 術後...
歯科治療ブログ | 2015.09.14 Mon 07:52
JUGEMテーマ:歯茎の審美歯科 歯茎から出血してしまっていたり、歯が揺れる方は歯周病とお考えいただいたほうが良いのですが、やみくもに歯ブラシを頑張っても歯茎を気付付けてしまうだけで、さらに歯周病が進行してしまう(細菌を増殖させている)だけかもしれません。歯茎を気付付けると増殖してしまっている菌が体内に入り込んでしまうかもしれません。 そこで、歯周病治療を行ううえで歯周病の菌がいるのか、活動性なのか、カビが生えているのかなど細菌検査を行うことで歯周病の状態を確認して、菌を減らす処置をする必要が...
歯科治療ブログ | 2014.12.28 Sun 17:37
JUGEMテーマ:歯茎の審美歯科 審美歯科治療の多くはオールセラミックで歯の治療を行います。 そのため、歯の形は歯茎の位置によって決まります。歯茎の位置は歯の成長とともに変わりますので、歯とあごの成長が落ち着いたころに歯茎の位置も落ち着いて変化が少なくなると言えます。 審美歯科で歯を削ってセラミックを入れる場合、歯茎が下がってしまうとセラミックの境界が露出してしまいますので、審美歯科治療は成人になってからの方がお勧めかと思います。 歯茎が下がった時に再度治療をしてもよい場...
歯科治療ブログ | 2013.08.27 Tue 13:20
JUGEMテーマ:歯茎の審美歯科 歯の色が生えてきた時から変色している歯を変色歯と呼んでいます。 変色歯は抗生剤の服用が原因と言われています。 ただ、変色してしまった歯は通常では元には戻せません。ホワイトニングでも効果が限定的です。 特に、テトラサイクリンが原因の変色した歯は内部の方から歯の色が変わってしま手いますので、もし色を変えたいと思われている場合はセラミック治療を行うことになります。 セラミックの治療例は審美歯科の専門ページをご参考ください。 審美歯科の専門ページ...
歯科治療ブログ | 2013.06.30 Sun 22:50
JUGEMテーマ:歯茎の審美歯科 本日の審美歯科ブログ 歯茎と審美歯科 歯茎の位置が上に上がり、歯が長く見えてしまいます。これでは審美的ではありません。 上下の歯茎の再生治療と、歯の形の修正をしました。 歯茎と審美歯科 歯茎の再生後に、上の歯は、歯の形を削って修正し、部分矯正を3か月行いました。下の歯には仮歯を入れて歯並びを変えています。 結果として歯の形が若返りました。 後は、歯茎の付け根の詰め物の変色を詰め治して、仮歯をオ...
歯科治療ブログ | 2012.11.04 Sun 10:51
JUGEMテーマ:歯茎の審美歯科 本日の審美歯科ブログ 歯茎と審美歯科 歯茎の位置が上に上がり、歯が長く見えてしまいます。これでは審美的ではありません。 上下の歯茎の再生治療と、歯の形の修正をしました。 歯茎と審美歯科 歯茎の再生後に、上の歯は、歯の形を削って修正し、部分矯正を3か月行いました。下の歯には仮歯を入れて歯並びを変えています。 結果として歯の形が若返りました。 後は、歯茎の付け根の詰め物の変色を詰め治して、仮歯をオールセラ...
歯科治療ブログ | 2012.10.06 Sat 10:23
1
全9件中 1 - 9 件表示 (1/1 ページ)