[pear_error: message="Success" code=0 mode=return level=notice prefix="" info=""]

↑ブログランキングに参加しています。毎日の応援ありがとうございます。↑ このブログは日本で唯一の会員制歯科医院 G.V. BLACK DENTAL OFFIC院長 Norman Yamazaki, DDS.が 歯科治療の真実を知りたい人に向けて発信しています。 G.V. BLACK DENTAL OFFICE Home PAGE 院長略歴 / 緑の日記 / twitter / facebook 明らかに失敗矯正だとわかったらどうするかの選択肢の一つ↑ ...
歯列矯正の名医による顎関節症/うつ病/不登校からの復活とは? | 2017.07.20 Thu 09:22
初診時の状況 Sammary 1) 症状 ・歯並びの悪さが原因の顎関節症 2) Patient ・20代前半 女性 身長160cm 痩せ形 3)人生 ・高校1年から体調不良になり不登校 ・寝たきりになり高校2年で退学 ・現在も寝たきり 4)歯の状況 ・治療された歯の内部が虫歯 ・歯並びが悪く噛み合わせが悪い(顎関節症) 5)復活に必要な治療 ・修復(虫歯、神経)治療 ・口腔外科(抜歯)治療 ・歯列矯正治療(ブラケット装着8ヶ月) November 25, 2012 Michie下稲荷嶽駒登場 今日の一...
Dental Diary ・歯列矯正失敗から立ち直らせることのできる歯科治療の名医とは? | 2016.02.21 Sun 13:49
<img src="http://bz1.shinobi.jp/bin/ll?00004221F" border=0> December 04, 2012Sandy下稲荷嶽駒 #18,19,30,31 BandSandy下稲荷嶽駒は#18,19,30,31Bandでした。Sandyは前医での歯列矯正で奥歯の位置が狂ってしまい体がおかしくなりひきこもりへの布石となったのですがその狂った奥歯の位置を理想的な位置に戻すことがG.V. BLACK DENTAL OFFICEで行う二度目の歯列矯正の目的です。12/01/12 Bracket Bonging直後の様子↑...
顎関節症・歯列矯正・噛み合わせ・子宮内膜症・歯科治療の名医とは? | 2015.01.17 Sat 00:55
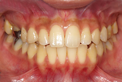
<img src="http://bz1.shinobi.jp/bin/ll?00004221F" border=0> December 01, 2012Sandy下稲荷嶽駒 BBSandy下稲荷嶽駒はBracket Bondingでした。まずはBB直前の様子です。正面から見た様子↓。12/01/12 本日 Bracket Bonging直前の様子↑上の歯の様子↓。12/01/12 本日 Bracket Bonging直前の様子↑下の歯の様子↓。12/01/12 本日 Bracket Bonging直前の様子↑虫歯も完全に治り神経の治療も完璧に終わり弱い歯はゴールドク...
顎関節症・歯列矯正・噛み合わせ・子宮内膜症・歯科治療の名医とは? | 2015.01.15 Thu 23:34
November 04, 2012Sandy下稲荷嶽駒 #13,14 AmalgamSandy下稲荷嶽駒は#13,14 Amalgamでした。修復治療ですからラバーダムは必須になります。#13, 14にはご覧の通りお気楽レジンが詰まっていて、いきなり変色しています↓。#14は真ん中に腐食した部分がありそこからダイレクトに歯の中につながっているため虫歯の大爆発は確定的になっています。虫歯の大爆発という表現は今から15年前の東京医科歯科大学歯学部で流行していた表現で虫歯を専門に治療している科の人たちがひどい虫歯の状態をどのような表現で患者さんに分かり易く伝えるか...
顎関節症・歯列矯正・噛み合わせ・子宮内膜症・歯科治療の名医とは? | 2014.11.25 Tue 23:13
<img src="http://bz1.shinobi.jp/bin/ll?00004221F" border=0> Sammary: 中学2年から始めた歯列矯正が引き金となり体調不良、精神不安などの不定愁訴に悩まされるようになったものの高校2年まではなんとか登校はしていたが、徐々に休むようになりさらに状態が悪化したため不登校になり結局、退学を余儀なくされ21才まで将来の不安を感じながらもどうして良いのかわからないし体も自分の思うようにならないのでひきこもりをしていた...
顎関節症・歯列矯正・噛み合わせ・子宮内膜症・歯科治療の名医とは? | 2014.11.22 Sat 10:29
<img src="http://bz1.shinobi.jp/bin/ll?00004221F" border=0> February 01, 2007Ken 津島中 #3 Amalgam CoreKen 津島中(つしまなか)は#3 Amalgam Coreでした。修復治療ですからラバーダムは必須になります。#3はRCTの5時間で歯の中は全て知り尽くしており、虫歯ももうなくなっているので治療は最速で進みます。Amalgam Coreの準備をし、Amalgamを充填し1時間程度で今日の治療は終わりました。参考1:究極の歯科虫歯治療参考2:虫歯にならないラバ...
顎関節症・歯列矯正・噛み合わせ・子宮内膜症・歯科治療の名医とは? | 2014.09.07 Sun 10:56
<img src="http://bz1.shinobi.jp/bin/ll?00004221F" border=0> January 24, 2006Ken 津島中 修復治療開始Ken 津島中(つしまなか)は#2,3 Amalgamの予定でした。修復治療の開始です。修復治療ですからラバーダムは必須になります。この#3はいやな雰囲気です↓。#2のお気楽レジンも凄いです↓。#4は歯列矯正のために抜歯となるので、このままのお気楽レジンでも放置となります↓。いやな予感が的中し、#3はどうでもインレーを除去している途中で、歯の一部が欠けて飛...
顎関節症・歯列矯正・噛み合わせ・子宮内膜症・歯科治療の名医とは? | 2014.09.02 Tue 12:19
<img src="http://bz1.shinobi.jp/bin/ll?00004221F" border=0> Sammary: 上顎前突、いわゆる「出っ歯」が醜くなってきたため、近所の矯正医で治そうと検査を受けたところ、まず虫歯を治すことを薦められので、近所の歯医者さんで虫歯治療をはじめたところ、噛み合わせがおかしくなり、不定愁訴の積み重ねから、体調を壊し始めたため、不思議がる両親に、歯のせいで自分はこうなったと主張しても信用されず、ついには精神科医か...
顎関節症・歯列矯正・噛み合わせ・子宮内膜症・歯科治療の名医とは? | 2014.09.01 Mon 11:23
さて、嶽駒(たけこま)シスターズの妹と言えばSandyなのですが今は姉のMiche同様、ホワイトニングの最中です。11/03/12 初診時の様子↑05/15/14 ホワイトニング2ヶ月目の本日の様子↑初診から558日、1年と193日が過ぎて福島に居た時は1日中寝ていた嶽駒(たけこま)シスターズは高山に昨年、二人で移り住んでからは徐々に健康が回復して今は週に何日かは外に出て自分の足で歩いてスーパーに行き買い物をするようになった。山崎先生の治療の指示にはほとんど従うこともなくヤクルト400も飲まない1日30分の散歩もしない早...
緑の日記 @ 飛騨高山桜谷 | 2014.05.16 Fri 23:32
全69件中 41 - 50 件表示 (5/7 ページ)